Home
Education
Classroom
Knowledge
Blog
TV
ธรรมะ
กิจกรรม
โครงการทรูปลูกปัญญา

ความผิดปกติและโรคของฟันและเหงือก

Posted By Plookpedia | 26 เม.ย. 60
557 Views

  Favorite

ความผิดปกติและโรคของฟันและเหงือก

โรคฟันผุ 

เกิดขึ้นเนื่องจากเคลือบฟัน และเนื้อฟันถูกทำลายโดยกรด ซึ่งเป็นผลจากปฏิกิริยาระหว่างเชื้อจุลินทรีย์ ซึ่งมีอยู่ประจำในช่องปาก กับอาหารจำพวกแป้งและน้ำตาล การผุของฟันจะเริ่มที่เคลือบฟันก่อน แล้วค่อยๆ ลุกลามไปยังเนื้อฟัน และถึงโพรงประสาทฟัน เมื่อถึงระยะนี้แล้ว เนื้อเยื่อในโพรงประสาทฟันอาจติดเชื้อได้ อาการของโรคอาจลุกลามไปถึงปลายรากฟัน และทำให้เกิดฝี ที่ปลายรากฟัน ก่อให้เกิดอาการเจ็บปวดและบวมได้ บางรายฝีที่เกิดขึ้น จะทำให้กระดูกเบ้ารากฟันบริเวณนั้นละลายตัว เป็นทางผ่านของหนองฝี เกิดออกข้างกระดูกสันเหงือกด้านกระพุ้งแก้ม หรือหนองฝีอาจแตกผ่านทะลุออกทางกระพุ้งแก้ม มีอยู่จำนวนไม่น้อยเช่นกัน เมื่อเนื้อเยื่อโพรงประสาทฟันติดเชื้อแล้ว อาการไม่รุนแรง โดยเกิดเป็นถุงน้ำ (cyst) ที่บริเวณปลายรากฟันได้

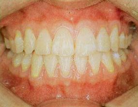
ฟันและเหงือกของเด็ก ซึ่งมีทันตสุขภาพสมบูรณ์ดี
ฟันและเหงือกของเด็ก ซึ่งมีทันตสุขภาพสมบูรณ์ดี
จาก หนังสือสารานุกรมไทยสำหรับเยาวชน ฯ เล่ม 9

 

 

การตรวจพบฟันผุ ในระยะเริ่มแรก และขจัดเอาส่วนที่ผุออก แล้วบูรณะ หรืออุดด้วยวัสดุอุดฟันที่เหมาะสม ก็สามารถจะเก็บฟันซี่นั้น ๆ ไว้ใช้งานต่อไปได้

 

การป้องกันโรคฟันผุนั้นสามารถทำได้ โดยให้เด็กในระยะที่ฟันกำลังเจริญเติบโต ได้ดื่มน้ำที่ผสมสารฟลูออไรด์ ในอัตราส่วน สารฟลูออไรด์ ๑ ส่วนต่อน้ำดื่มล้านส่วน เป็นประจำ ร่วมกับการทำความสะอาดฟันที่ถูกต้อง ร่วมกับการทาน้ำยาฟลูออไรด์ลงบนตัวฟัน

ฟันผุในฟันหลัง
ฟันผุในฟันหลัง ซึ่งได้รับการอุดด้วยอะมัลกัมเงินสามารถทนต่อแรงบดเคี้ยวได้ดี
จาก หนังสือสารานุกรมไทยสำหรับเยาวชน ฯ เล่ม 9

 

 

การสึกกร่อนของฟัน 

อาจเกิดขึ้นเนื่องจากใช้ฟันเคี้ยวอาหารประเภทกรอบแข็ง หรือนอนกัดฟัน ซึ่งมักจะเกิดทางด้านหน้าสบของฟัน หรืออาจเกิดตามแนวคอฟัน เนื่องมาจากการใช้แปรงที่ขนแปรงแข็งเกินควร ร่วมกับการแปรงฟันไม่ถูกวิธี ฟันสึก และกร่อนนั้น สามารถบูรณะให้ใช้งานได้ ด้วยการอุดหรือทำครอบฟันด้วยวัสดุที่เหมาะสม

การสบฟันที่ผิดปกติ หรือฟันขึ้นไม่เป็นระเบียบ 

ในรายที่ฟันขึ้นไม่เป็นระเบียบ ซ้อนหรือเก จะทำให้ขากรรไกรล่างเคลื่อนตัวไม่เป็นอิสระขณะเคี้ยวอาหาร ในบางครั้งอาจมีเสียงดังบริเวณกกหู ขณะอ้าปาก หรือหุบปาก เนื่องมาจากข้อต่อขากรรไกรเคลื่อน ในรายที่อาการรุนแรงอาจมีอาการเจ็บปวดที่ข้อต่อขากรรไกรที่บริเวณกกหู อาจเป็นข้างเดียว หรือสองข้าง และอาจมีอาการปวดเมื่อยของกล้ามเนื้อบริเวณแก้มร่วมด้วย นอกจากนี้ในรายที่มีการสบของฟันผิดปกติ ฟันซ้อนหรือเก จะทำให้ยากแก่การรักษาสุขภาพฟัน จึงเป็นเหตุอันหนึ่ง ที่ทำให้เกิดโรคฟันผุ และโรคปริทันต์อีกด้วย

 

การสบฟันที่ผิดปกติ โดยฟันหน้าในขากรรไกรล่าง ครอบฟันหน้าในขากรรไกรบน ถ้าปล่อยทิ้งไว้อาจมีปัญหา เกี่ยวกับข้อต่อขากรรไกรได้ ในภายหลัง

การสบฟันที่ผิดปกติ
การสบฟันที่ผิดปกติ
จาก หนังสือสารานุกรมไทยสำหรับเยาวชน ฯ เล่ม 9

 

 

การสูญเสียฟันน้ำนมก่อนกำหนด หรือฟันน้ำนมหลุดช้ากว่ากำหนด เป็นสาเหตุหนึ่ง ที่ทำให้ฟันแท้ขึ้นมา แล้วมีการสบของฟัน ที่ผิดปกติ

 

การสบฟันที่ผิดปกติ (ในคนเดียวกัน) เมื่อได้รับการแก้ไขทางทันตกรรมจัดฟันแล้ว ฟันจะสบกันอยู่อย่างถูกต้อง และใช้บดเคี้ยวได้อย่างปกติ

การสบฟันที่แก้ไขแล้ว
หนังสือสารานุกรมไทยสำหรับเยาวชน ฯ เล่ม 9

 

 

การแก้ไขฟันที่สบกันผิดปกติ ซ้อนหรือเก กระทำได้โดยทางทันตกรรมจัดฟัน 

ในรายที่มีการสบฟันผิดปกติ เนื่องจากปากแหว่ง และเพดานโหว่นั้น ก็สามารถจัดฟันให้มีการสบของฟันที่ดีขึ้น ซึ่งจะต้องกระทำร่วมกันระหว่างทันตกรรมจัดฟันและทางศัลยกรรม 

โรคปริทันต์ 

ปริทันต์ คือ อวัยวะรอบๆ ตัวฟัน ได้แก่ เหงือกเคลือบรากฟัน เยื่อปริทันต์ และกระดูกเบ้ารากฟัน โรคปริทันต์ที่พบมากที่สุดคือ โรคเหงือกอักเสบ (gingivits) สังเกตเห็นได้จากการที่ขอบเหงือกรอบๆ ตัวฟันจะเปลี่ยนสีจากสีชมพูไปเป็นสีแดง ขอบเหงือกจะแยกออกจากคอฟัน ทำให้เกิดช่องว่างลักษณะเป็นกระเป๋าระหว่างคอฟันกับเหงือก เหงือกที่มีการอักเสบนี้ จะเป็นแผล และมีเลือดออกได้ง่าย แม้ขณะรับประทานอาหาร หรือแปรงฟัน ถ้าปล่อยให้การอักเสบนี้ดำเนินต่อไป โรคจะลุกลามไปถึงเนื้อเยื่อปริทันต์ และกระดูกเบ้ารากฟัน ทำให้มีช่องว่างระหว่างฟันกับเบ้ารากฟัน ฟันจะโยกคลอนได้ เมื่อโรคดำเนินมาถึงระยะนี้แล้ว เรียกว่า โรคปริทันต์ (periodontitis) หรือระมะนาด 

สาเหตุของโรคปริทันต์ ได้แก่ การรักษาสุขภาพฟันไม่ดีพอ ทุพโภชนา การใส่ฟันปลอมบางส่วนที่ไม่ถูกต้อง ฟันสบกันผิดปกติ ฟันซ้อน หรือเก รวมถึงการถอนฟันบางซี่ไป แล้วปล่อยช่องว่างไว้ ทำให้ฟันข้างเคียงล้มหรือเอียง การเปลี่ยนแปลงของฮอร์โมนบางชนิด เช่น ในวัยที่เริ่มเป็นหนุ่มสาว หรือหญิงมีครรภ์ นอกจากนั้นผู้ที่ได้รับสารพิษบางอย่าง เช่น สารตะกั่วหรือปรอท ก็ทำให้เกิดโรคเหงือกอักเสบได้

เว็บไซต์ทรูปลูกปัญญาดอทคอมเป็นเพียงผู้ให้บริการพื้นที่เผยแพร่ความรู้เพื่อประโยชน์ของสังคม ข้อความและรูปภาพที่ปรากฏในบทความเป็นการเผยแพร่โดยผู้ใช้งาน หากพบเห็นข้อความและรูปภาพที่ไม่เหมาะสมหรือละเมิดลิขสิทธิ์ กรุณาแจ้งผู้ดูแลระบบเพื่อดำเนินการต่อไป
Tags
  • Posted By
  • Plookpedia
  • 15 Followers
  • Follow